Login
Register
Gallery
Pleural
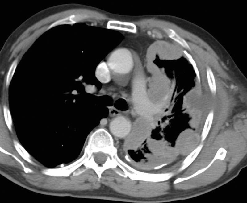
mesothelioma 3B + plaques CT
mesothelioma 3B
+ plaques CT
Date: 01/13/2008
Size:
800x658
849x698
Full size:
849x698
next
last
first
previous
next
last
first
previous