Login Register
Gallery Pleural mesothelioma 3B + plaques CT

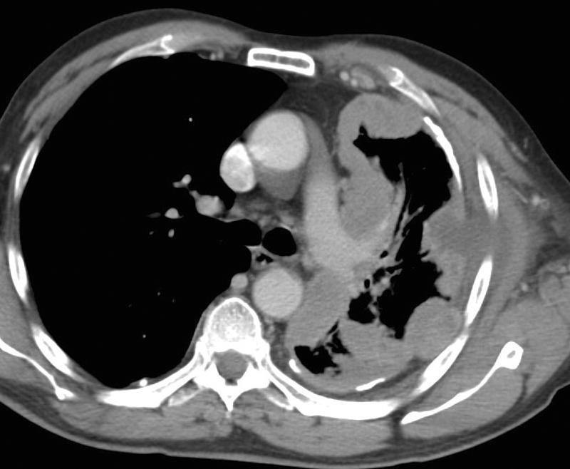
mesothelioma 3B
+ plaques CT

Date: 01/13/2008
Size:
Full size: 849x698
nextlast
first previous
mesothelioma 3B
+ plaques CT
nextlast
first previous
Powered by Gallery v2.3