Login Register
Gallery Pleural Mesothelioma

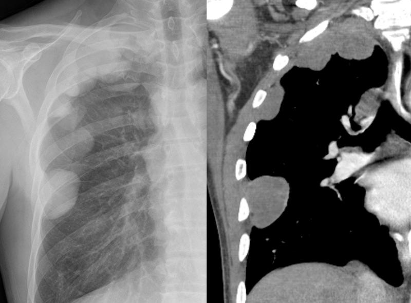
Mesothelioma

Date: 11/06/2013
Size:
Full size: 1261x930
nextlast
first previous
Mesothelioma
nextlast
first previous
Powered by Gallery v2.3