Login
Register
Gallery
Pleural
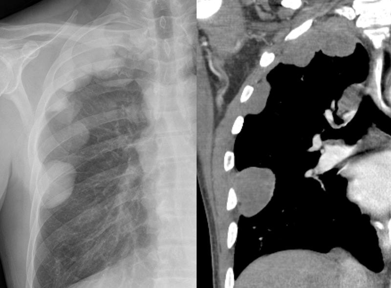
Mesothelioma
Mesothelioma
Date: 11/06/2013
Size:
800x590
1261x930
Full size:
1261x930
next
last
first
previous
next
last
first
previous