Login Register
Gallery Pleural mesothelioma 3a +plaques

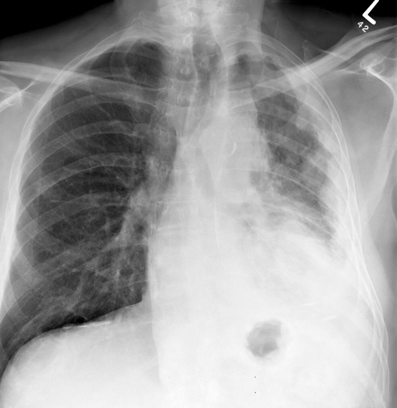
mesothelioma 3a
+plaques

Date: 01/13/2008
Size:
Full size: 986x1014
nextlast
first previous
mesothelioma 3a
+plaques
nextlast
first previous
Powered by Gallery v2.3