Login Register
Gallery Pleural Asbestos- calcified plaques

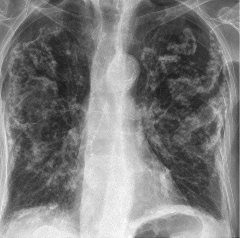
Asbestos- calcified plaques

Date: 10/23/2010
Size:
Full size: 1100x1091
nextlast
first previous
Asbestos- calcified plaques
nextlast
first previous
Powered by Gallery v2.3