Login Register
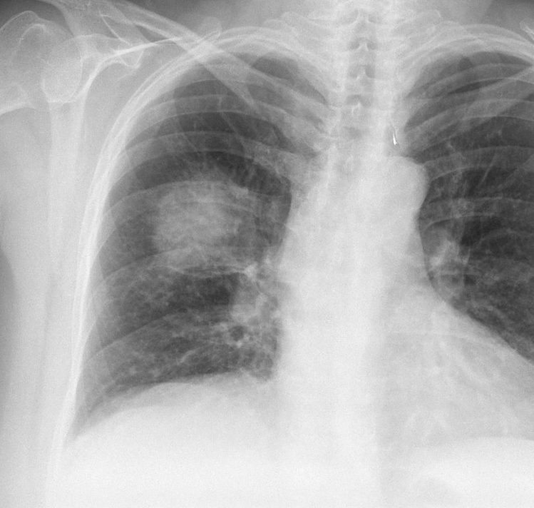
Gallery Pneumonia Case 1 Round pneumonia

Case 1 Round pneumonia

Date: 04/16/2005
Full size: 749x712
nextlast
Case 1 Round pneumonia
nextlast
Powered by Gallery v2.3