Login Register
Gallery Pneumonia Case 4 RML pneum Lat

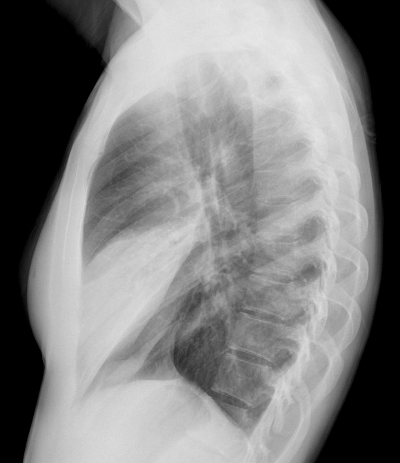
Case 4 RML pneum Lat

Date: 04/16/2005
Full size: 580x671
nextlast
first previous
Case 4 RML pneum Lat
nextlast
first previous
Powered by Gallery v2.3