Login Register
Gallery Pneumonia Case 5 RML med seg PA

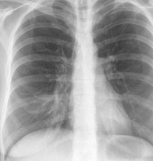
Case 5 RML med seg PA

Date: 04/16/2005
Full size: 497x522
nextlast
first previous
Case 5 RML med seg PA
nextlast
first previous
Powered by Gallery v2.3