Login
Register
Gallery
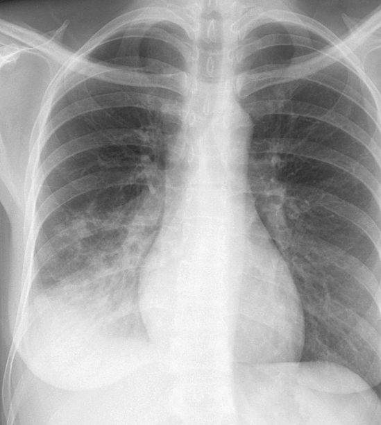
Pneumonia
Case 8 RLL pneum PA
Case 8 RLL pneum PA
Date: 04/17/2005
Full size: 549x612
next
last
first
previous
next
last
first
previous