Login
Register
Gallery
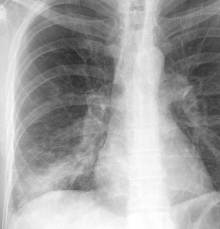
Pneumonia
Case 9 RLL brpneum PA
Case 9 RLL brpneum PA
Date: 11/02/2004
Size:
770x800
834x866
Full size:
834x866
next
last
first
previous
next
last
first
previous