Login Register
Gallery Pneumonia Case 11 RLL pneum Lat

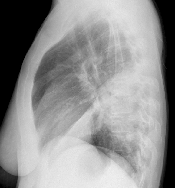
Case 11 RLL pneum Lat

Date: 04/17/2005
Full size: 578x622
nextlast
first previous
Case 11 RLL pneum Lat
nextlast
first previous
Powered by Gallery v2.3