Login Register
Gallery Pneumonia Case 14 RLL pneum CT

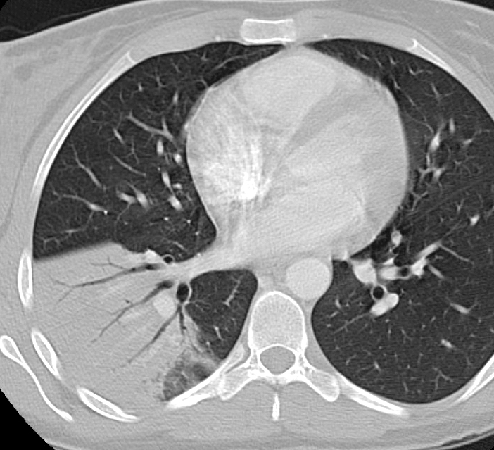
Case 14 RLL pneum CT

Date: 04/17/2005
Full size: 702x639
nextlast
first previous
Case 14 RLL pneum CT
nextlast
first previous
Powered by Gallery v2.3