Login Register
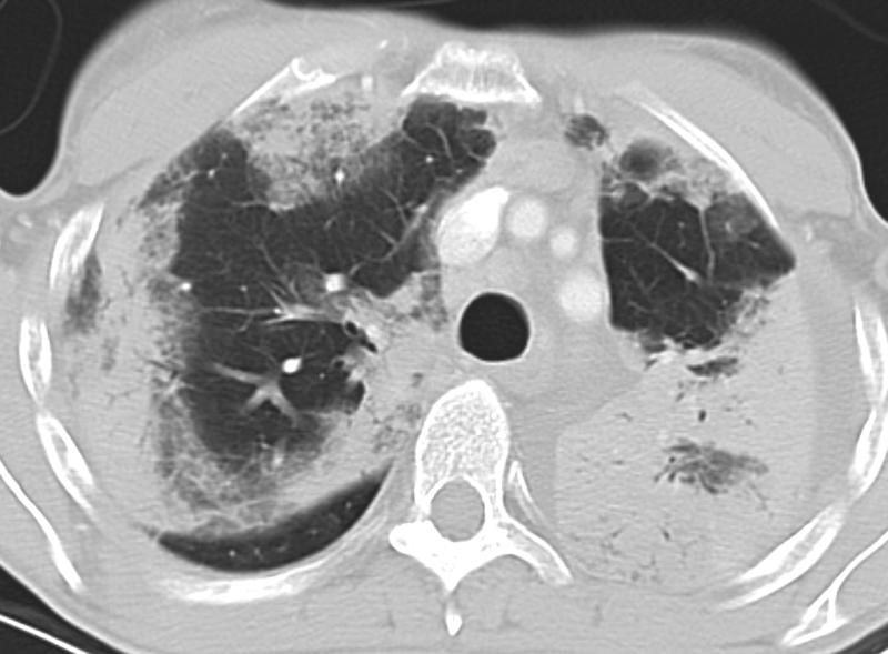
Gallery Pneumonia Eos pneum

Eos pneum

Date: 03/11/2006
Size:
Full size: 892x657
nextlast
first previous
Eos pneum
nextlast
first previous
Powered by Gallery v2.3