Login Register
Gallery Pneumonia Lingular pneumonia PA

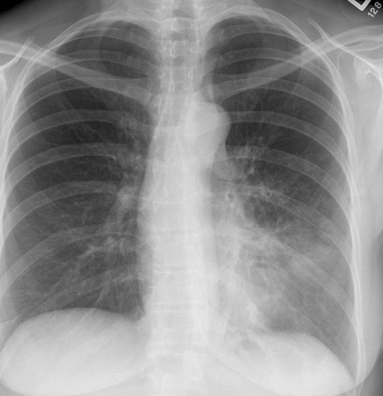
Lingular pneumonia PA

Date: 10/15/2006
Size:
Full size: 1120x1159
nextlast
first previous
Lingular pneumonia PA
nextlast
first previous
Powered by Gallery v2.3