Login Register
Gallery Pneumonia

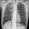
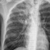
Pneumonia

Date: 06/03/2005
Size: 74 items
first previous
TB - active

TB - active

Date: 04/30/2014
Views: 3807
active TB

active TB

Date: 10/22/2010
Views: 5829
   
first previous
Page: 1 2 3
Powered by Gallery v2.3