Login Register
Gallery Pneumonia

Pneumonia

Date: 06/03/2005
Size: 74 items
nextlast
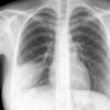
Case 1 Round pneumonia

Case 1 Round pneumonia

Date: 04/16/2005
Views: 8072
Round pneumonia 
different case

Round pneumonia
different case

Date: 11/28/2009
Views: 5932
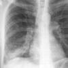
Case 2 Lingular pneum PA

Case 2 Lingular pneum PA

Date: 04/17/2005
Views: 6019
Case 2  Lingular pneum Lat

Case 2 Lingular pneum Lat

Date: 04/17/2005
Views: 7024
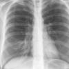
Case 3 RM & UL pneum PA

Case 3 RM & UL pneum PA

Date: 07/04/2004
Views: 5509
Case 3 RM & UL pneum Lat

Case 3 RM & UL pneum Lat

Date: 07/04/2004
Views: 6851
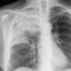
Case 4 RML pneum PA

Case 4 RML pneum PA

Date: 04/16/2005
Views: 5398
Case 4 RML pneum Lat

Case 4 RML pneum Lat

Date: 04/16/2005
Views: 5342
Case 5 RML med seg PA

Case 5 RML med seg PA

Date: 04/16/2005
Views: 5676
Case 5 RML med seg Lat

Case 5 RML med seg Lat

Date: 04/16/2005
Views: 4885
Case 6 RLL pneum PA

Case 6 RLL pneum PA

Date: 04/17/2005
Views: 5639
Case 6 RLL pneum Lat

Case 6 RLL pneum Lat

Date: 04/17/2005
Views: 10595
Case 7 RUL pneum PA

Case 7 RUL pneum PA

Date: 02/10/2005
Views: 4841
Case 7 RUL pneum Lat

Case 7 RUL pneum Lat

Date: 02/10/2005
Views: 4798
Case 8 RLL pneum PA

Case 8 RLL pneum PA

Date: 04/17/2005
Views: 5430
Case 8 RLL pneum Lat

Case 8 RLL pneum Lat

Date: 04/17/2005
Views: 12226
Case 9 RLL brpneum PA

Case 9 RLL brpneum PA

Date: 11/02/2004
Views: 5901
Case 9 RLL brpneum Lat

Case 9 RLL brpneum Lat

Date: 11/02/2004
Views: 5154
Case 10 LLL pneum PA

Case 10 LLL pneum PA

Date: 04/17/2005
Views: 4871
Case 10 LLL pneum Lat

Case 10 LLL pneum Lat

Date: 04/17/2005
Views: 6140
Case 11 RLL pneum PA

Case 11 RLL pneum PA

Date: 04/17/2005
Views: 4711
Case 11 RLL pneum Lat

Case 11 RLL pneum Lat

Date: 04/17/2005
Views: 26736
Case 12 antmed LLL pneum PA

Case 12 antmed LLL pneum PA

Date: 04/17/2005
Views: 5415
Case 12 antmed LLL pneum Lat

Case 12 antmed LLL pneum Lat

Date: 04/17/2005
Views: 4797
Case 13 RUL pneum PA

Case 13 RUL pneum PA

Date: 04/17/2005
Views: 5243
Case 13 RUL pneum Lat

Case 13 RUL pneum Lat

Date: 04/17/2005
Views: 4700
Case 14 RLL pneum PA

Case 14 RLL pneum PA

Date: 04/17/2005
Views: 4751
Case 14 RLL pneum Lat

Case 14 RLL pneum Lat

Date: 04/17/2005
Views: 13198
Case 14 RLL pneum CT

Case 14 RLL pneum CT

Date: 04/17/2005
Views: 5228
Case 15
Str. Pneum PA

Case 15
Str. Pneum PA

Date: 03/03/2006
Views: 5920
Case 15
Str. Pneum Lat

Case 15
Str. Pneum Lat

Date: 03/03/2006
Views: 5802
Case 16 Pneumonia PA

Case 16 Pneumonia PA

Date: 07/09/2006
Views: 4557
Case 16 Pneumonia Lat

Case 16 Pneumonia Lat

Date: 07/09/2006
Views: 4408
Case 17 Pneum with abscess PA

Case 17 Pneum with abscess PA

Date: 07/09/2006
Views: 4747
Case 17 Pneum with abscessCT

Case 17 Pneum with abscessCT

Date: 07/09/2006
Views: 6251
Case 18 Cavitating pneum/Abscess PA

Case 18 Cavitating pneum/Abscess PA

Date: 07/09/2006
Views: 4612
nextlast
Page: 1 2 3
Powered by Gallery v2.3