Login Register
Gallery Pneumonia Aspiration (hanging)

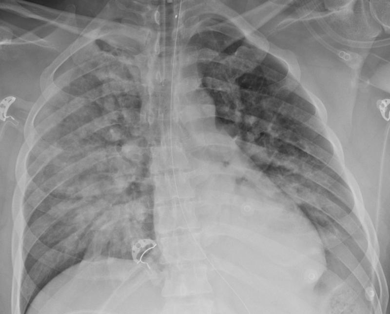
Aspiration (hanging)

Date: 07/27/2013
Size:
Full size: 895x720
nextlast
first previous
Aspiration (hanging)
nextlast
first previous
Powered by Gallery v2.3