Login
Register
Gallery
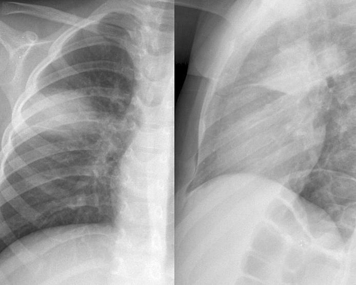
Pneumonia
Round pneumonia different case
Round pneumonia
different case
Date: 11/28/2009
Full size: 694x555
next
last
first
previous
next
last
first
previous