Login
Register
Gallery
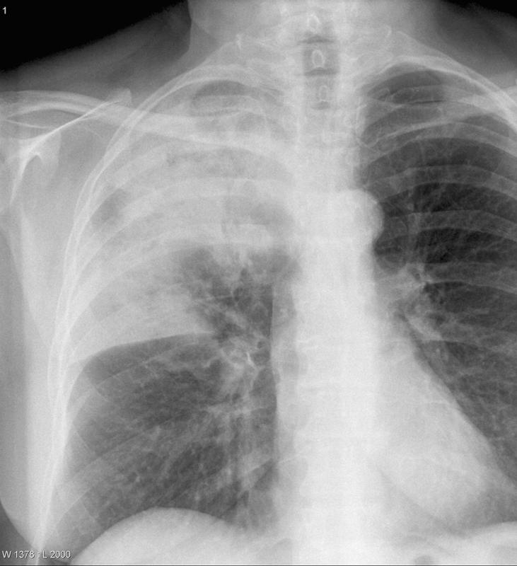
Pneumonia
Case 15 Str. Pneum PA
Case 15
Str. Pneum PA
Date: 03/03/2006
Size:
731x800
790x864
Full size:
790x864
next
last
first
previous
next
last
first
previous