Login Register
Gallery Pneumonia Case 17 Pneum with abscessCT

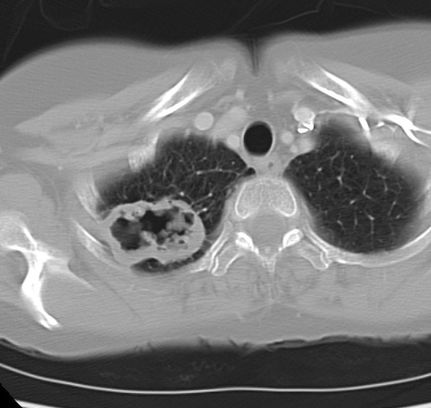
Case 17 Pneum with abscessCT

Date: 07/09/2006
Full size: 613x581
nextlast
first previous
Case 17 Pneum with abscessCT
nextlast
first previous
Powered by Gallery v2.3