Login Register
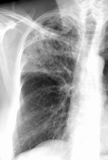
Gallery Pneumonia Case 17 Pneum with abscess PA

Case 17 Pneum with abscess PA

Date: 07/09/2006
Full size: 380x563
nextlast
first previous
Case 17 Pneum with abscess PA
nextlast
first previous
Powered by Gallery v2.3