Login
Register
Gallery
Pneumonia
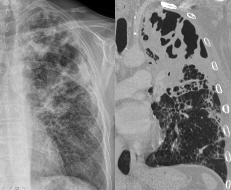
necrotizing pneumonia
necrotizing pneumonia
Date: 02/02/2011
Size:
800x658
1150x946
Full size:
1150x946
next
last
first
previous
next
last
first
previous