Login Register
Gallery Pneumonia Case 18 Cavitating pneum/Abscess PA

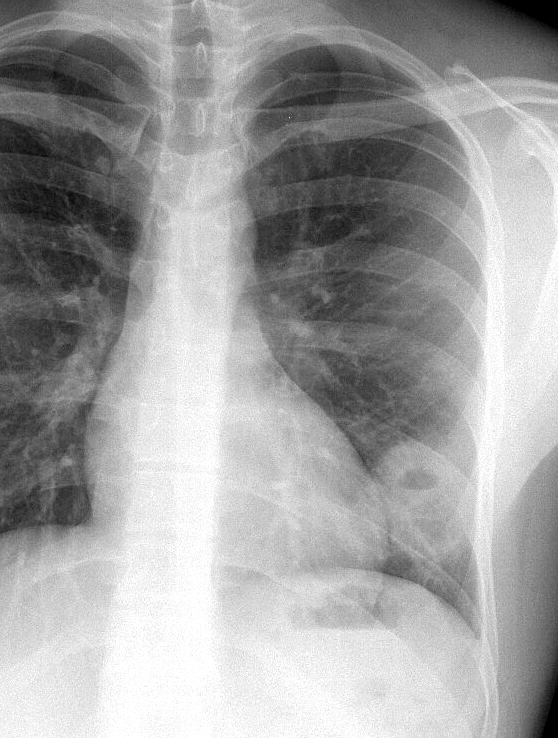
Case 18 Cavitating pneum/Abscess PA

Date: 07/09/2006
Full size: 558x738
nextlast
first previous
Case 18 Cavitating pneum/Abscess PA
nextlast
first previous
Powered by Gallery v2.3