Login
Register
Gallery
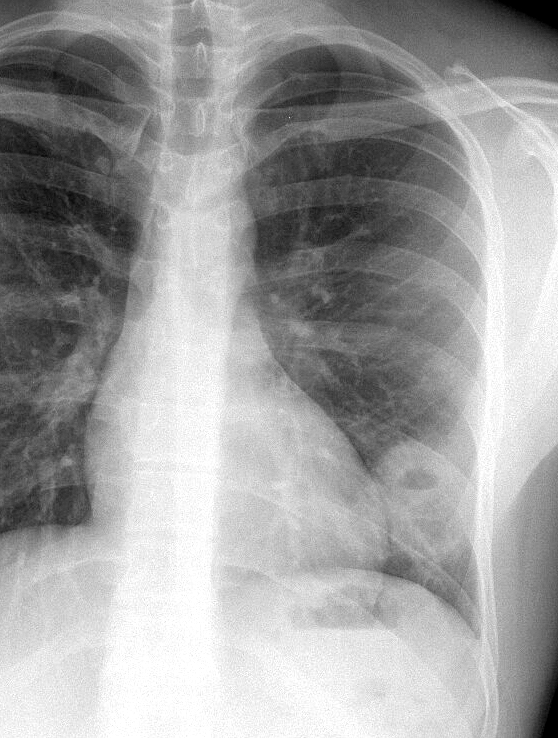
Pneumonia
Case 18 Cavitating pneum/Abscess PA
Case 18 Cavitating pneum/Abscess PA
Date: 07/09/2006
Full size: 558x738
next
last
first
previous
next
last
first
previous