Login Register
Gallery Pulmonary Fibrosis IPF

IPF

Date: 01/21/2006
Size: 32 items
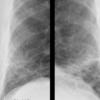
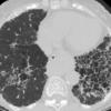
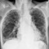
Case 1

Case 1

Date: 12/31/2004
Views: 3860
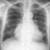
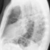
Case 2a

Case 2a

Date: 04/17/2005
Views: 3319
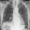
Case 2b

Case 2b

Date: 04/17/2005
Views: 3072
Case 2c

Case 2c

Date: 04/17/2005
Views: 3163
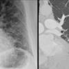
Case 3a

Case 3a

Date: 09/16/2003
Views: 3189
Case 3b

Case 3b

Date: 08/22/2004
Views: 3016
Case 3c

Case 3c

Date: 09/16/2003
Views: 3865
Case 4a

Case 4a

Date: 02/09/2005
Views: 3616
Case 4b

Case 4b

Date: 02/09/2005
Views: 3624
Case 5a

Case 5a

Date: 01/25/2004
Views: 2946
Case 5 closeup

Case 5 closeup

Date: 01/25/2004
Views: 2726
Case 6a

Case 6a

Date: 01/25/2004
Views: 2990
Case 6a closeup

Case 6a closeup

Date: 01/25/2004
Views: 2981
Case 6c

Case 6c

Date: 01/25/2004
Views: 3712
Case 6d

Case 6d

Date: 08/22/2004
Views: 2818
Case 7a

Case 7a

Date: 05/14/2003
Views: 2789
Case 7b

Case 7b

Date: 05/14/2003
Views: 2819
Case 7c

Case 7c

Date: 05/14/2003
Views: 2940
Case 8a

Case 8a

Date: 10/31/2004
Views: 3936
Case 8b

Case 8b

Date: 10/31/2004
Views: 3588
Case 8c closeup

Case 8c closeup

Date: 10/31/2004
Views: 2840
Case 8d

Case 8d

Date: 10/31/2004
Views: 3850
Case 8e

Case 8e

Date: 10/31/2004
Views: 3790
Case 8f

Case 8f

Date: 10/31/2004
Views: 2808
Honeycomb

Honeycomb

Date: 01/06/2012
Views: 4416
Honeycomb c:u

Honeycomb c:u

Date: 01/06/2012
Views: 3960
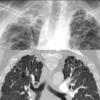
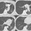
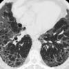
Honeycomb CT 4in1

Honeycomb CT 4in1

Date: 01/06/2012
Views: 3345
IPF

IPF

Date: 11/06/2013
Views: 3778
IPF

IPF

Date: 11/06/2013
Views: 3518
IPF

IPF

Date: 04/02/2014
Views: 3890
fibrosis - traction bronch

fibrosis - traction bronch

Date: 03/02/2014
Views: 3646
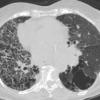
IPF axial

IPF axial

Date: 04/02/2014
Views: 4086
Page: 1
Powered by Gallery v2.3