Login Register
Gallery Pulmonary Fibrosis IPF Case 8d

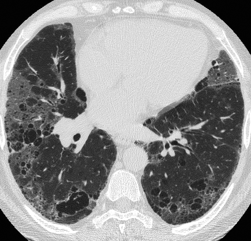
Case 8d

Date: 10/31/2004
Size:
Full size: 806x776
nextlast
first previous
Case 8d
nextlast
first previous
Powered by Gallery v2.3