Login Register
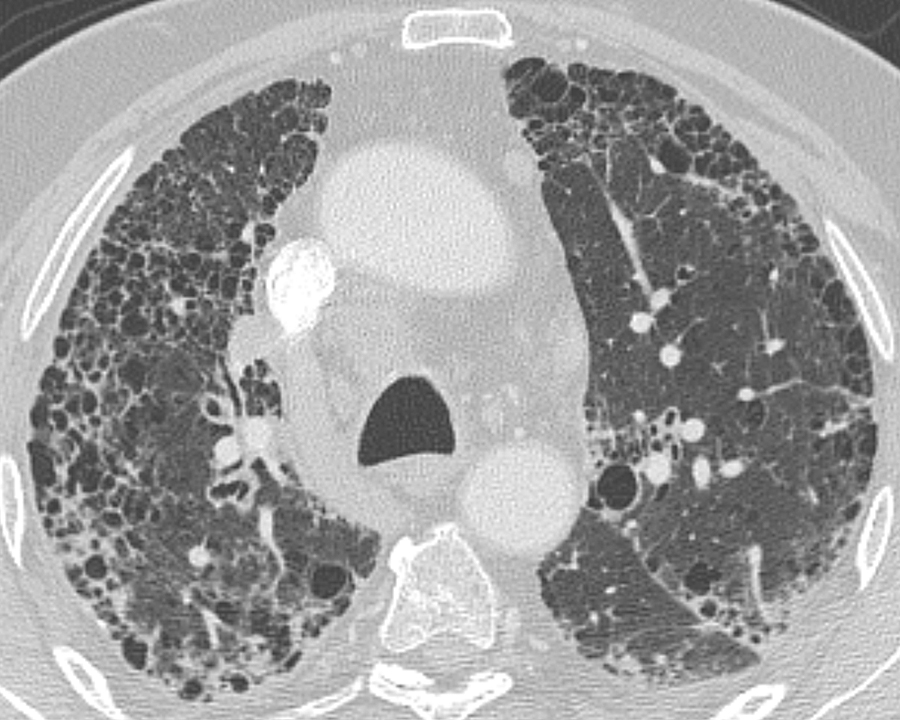
Gallery Pulmonary Fibrosis IPF IPF axial

IPF axial

Date: 04/02/2014
Size:
Full size: 900x720
first previous
IPF axial
first previous
Powered by Gallery v2.3