Login Register
Gallery Pulmonary Fibrosis Radiation

Radiation

Date: 01/21/2006
Size: 14 items
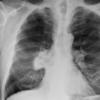
Radiation case 1

Radiation case 1

Date: 07/07/2004
Views: 4198
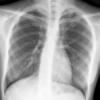
Radiation case 1

Radiation case 1

Date: 07/07/2004
Views: 3384
Radiation case 2

Radiation case 2

Date: 07/30/2005
Views: 3435
Radiation case 2

Radiation case 2

Date: 02/10/2005
Views: 3899
Radiation case 2

Radiation case 2

Date: 02/10/2005
Views: 3184
Radiation case 3

Radiation case 3

Date: 07/30/2005
Views: 4116
Radiation case 3

Radiation case 3

Date: 07/30/2005
Views: 3404
Radiation case 3

Radiation case 3

Date: 07/30/2005
Views: 3188
Radiation case 4

Radiation case 4

Date: 07/30/2005
Views: 3231
Radiation case 5
July

Radiation case 5
July

Date: 06/28/2004
Views: 3291
Radiation case 5
 Nov

Radiation case 5
Nov

Date: 01/13/2008
Views: 4026
Radiation case 5
 4yrs later

Radiation case 5
4yrs later

Date: 01/13/2008
Views: 4252
Radiation Case 5 seq

Radiation Case 5 seq

Date: 02/27/2009
Views: 30581
Radiation case 6

Radiation case 6

Date: 01/14/2008
Views: 3744
   
Page: 1
Powered by Gallery v2.3