Login Register
Gallery Pulmonary Fibrosis Radiation Radiation case 6

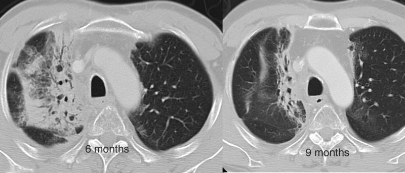
Radiation case 6

Date: 01/14/2008
Size:
Full size: 1816x778
first previous
Radiation case 6
first previous
Powered by Gallery v2.3