Login Register
Gallery Sarcoid

Sarcoid

Date: 04/20/2004
Size: 63 items
nextlast
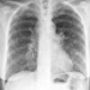
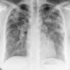
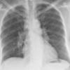
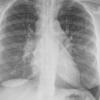
Sarcoid
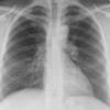
Cse 1 PA

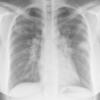
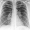
Sarcoid
Cse 1 PA

Date: 04/19/2004
Views: 3955
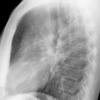
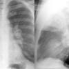
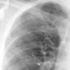
Sarcoid
Case 1 Lat

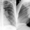
Sarcoid
Case 1 Lat

Date: 04/19/2004
Views: 3515
Sarcoid
Case 1 PA & Lat

Sarcoid
Case 1 PA & Lat

Date: 04/19/2004
Views: 3579
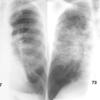
Sarcoid
Case 2 PA

Sarcoid
Case 2 PA

Date: 04/19/2004
Views: 3691
Sarcoid
Case 2 Lat

Sarcoid
Case 2 Lat

Date: 04/19/2004
Views: 3555
Sarcoid
Case 2 PA & Lat

Sarcoid
Case 2 PA & Lat

Date: 04/19/2004
Views: 3608
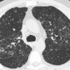
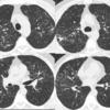
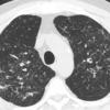
Sarcoid
Case 2 CT

Sarcoid
Case 2 CT

Date: 04/19/2004
Views: 3148
Sarcoid
Case 3 PA

Sarcoid
Case 3 PA

Date: 01/25/2004
Views: 3693
Sarcoid
Case 3 Lat

Sarcoid
Case 3 Lat

Date: 01/25/2004
Views: 3491
Sarcoid
Case 3 PA & Lat

Sarcoid
Case 3 PA & Lat

Date: 01/25/2004
Views: 3481
Sarcoid
Case 3 CT

Sarcoid
Case 3 CT

Date: 01/25/2004
Views: 3429
Sarcoid PA
Case 4

Sarcoid PA
Case 4

Date: 04/30/2014
Views: 3407
Sarcoid lateral
Case 4

Sarcoid lateral
Case 4

Date: 04/30/2014
Views: 3843
Sarcoid CT
Case 4

Sarcoid CT
Case 4

Date: 04/30/2014
Views: 4413
Sarcoid
Case 5

Sarcoid
Case 5

Date: 01/25/2004
Views: 3565
Sarcoid
Case 5 PA & Lat

Sarcoid
Case 5 PA & Lat

Date: 01/25/2004
Views: 3483
Sarcoid
Case 5 CT

Sarcoid
Case 5 CT

Date: 01/25/2004
Views: 4691
Sarcoid nodes with calcification

Sarcoid nodes with calcification

Date: 03/27/2009
Views: 4214
Sarcoid
Case 6 2 yrs apart

Sarcoid
Case 6 2 yrs apart

Date: 04/19/2004
Views: 3258
Sarcoid
Case 6 '60 & '65

Sarcoid
Case 6 '60 & '65

Date: 04/19/2004
Views: 3963
Sarcoid
Case 6 '67  & '73

Sarcoid
Case 6 '67 & '73

Date: 04/19/2004
Views: 3982
Sarcoid
Case 6 1965-73

Sarcoid
Case 6 1965-73

Date: 04/19/2004
Views: 3194
Sarcoid Late 
Case 8

Sarcoid Late
Case 8

Date: 04/01/2014
Views: 4107
Sarcoid Coronal CT
Case 8

Sarcoid Coronal CT
Case 8

Date: 04/01/2014
Views: 4020
Sarcoid
Case 9 PA

Sarcoid
Case 9 PA

Date: 04/20/2004
Views: 3461
Sarcoid
Case 9 Lat

Sarcoid
Case 9 Lat

Date: 04/20/2004
Views: 3333
Sarcoid
Case 10 PA

Sarcoid
Case 10 PA

Date: 04/20/2004
Views: 3332
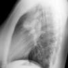
Sarcoid
Case 10 closeup

Sarcoid
Case 10 closeup

Date: 04/20/2004
Views: 3386
Sarcoid
Case 10 CT 1

Sarcoid
Case 10 CT 1

Date: 04/20/2004
Views: 3356
Sarcoid
Case 10 CT2

Sarcoid
Case 10 CT2

Date: 04/20/2004
Views: 3352
Sarcoid
Case 10 CT3

Sarcoid
Case 10 CT3

Date: 04/20/2004
Views: 3266
Sarcoid
Case 10 CT4

Sarcoid
Case 10 CT4

Date: 04/20/2004
Views: 3421
Sarcoid
Case 10 CT5

Sarcoid
Case 10 CT5

Date: 04/20/2004
Views: 3062
Sarcoid
Case 11 PA(a)

Sarcoid
Case 11 PA(a)

Date: 04/21/2004
Views: 3404
Sarcoid
Case 11 PA(b)

Sarcoid
Case 11 PA(b)

Date: 04/21/2004
Views: 3416
Sarcoid
Case 11 Lat

Sarcoid
Case 11 Lat

Date: 04/21/2004
Views: 3386
nextlast
Page: 1 2
Powered by Gallery v2.3