Login Register
Gallery Sarcoid Sarcoid Case 1 PA & Lat

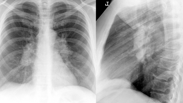
Sarcoid
Case 1 PA & Lat

Date: 04/19/2004
Full size: 720x405
nextlast
first previous
Sarcoid
Case 1 PA & Lat
nextlast
first previous
Powered by Gallery v2.3