Login Register
Gallery Sarcoid Sarcoid Case 3 PA

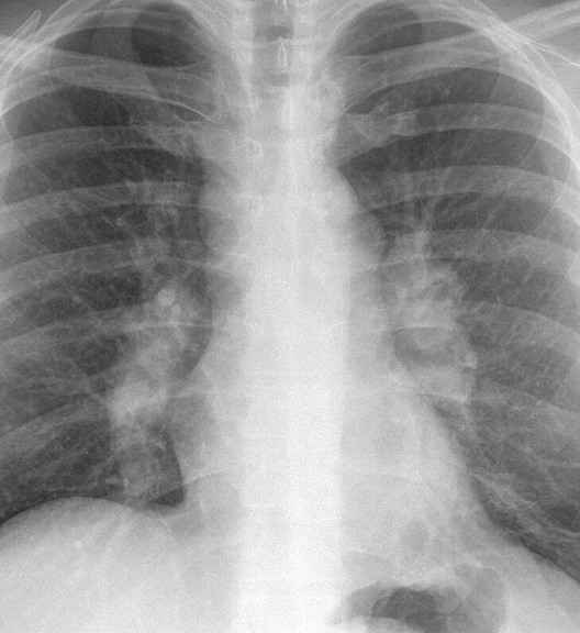
Sarcoid
Case 3 PA

Date: 01/25/2004
Full size: 528x576
nextlast
first previous
Sarcoid
Case 3 PA
nextlast
first previous
Powered by Gallery v2.3