Login Register
Gallery Sarcoid Sarcoid Case 6 2 yrs apart

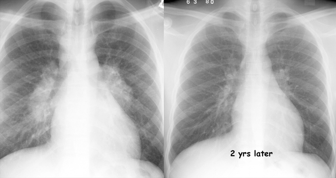
Sarcoid
Case 6 2 yrs apart

Date: 04/19/2004
Full size: 691x367
nextlast
first previous
Sarcoid
Case 6 2 yrs apart
nextlast
first previous
Powered by Gallery v2.3