Login
Register
Gallery
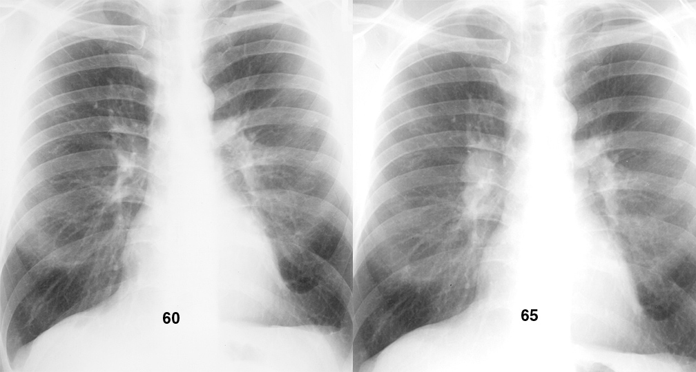
Sarcoid
Sarcoid Case 6 '60 & '65
Sarcoid
Case 6 '60 & '65
Date: 04/19/2004
Size:
800x429
1008x540
Full size:
1008x540
next
last
first
previous
next
last
first
previous