Login Register
Gallery Sarcoid Sarcoid Case 9 PA

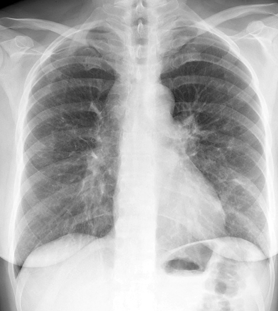
Sarcoid
Case 9 PA

Date: 04/20/2004
Full size: 546x612
nextlast
first previous
Sarcoid
Case 9 PA
nextlast
first previous
Powered by Gallery v2.3