Login Register
Gallery Sarcoid Sarcoid Case 11 PA(b)

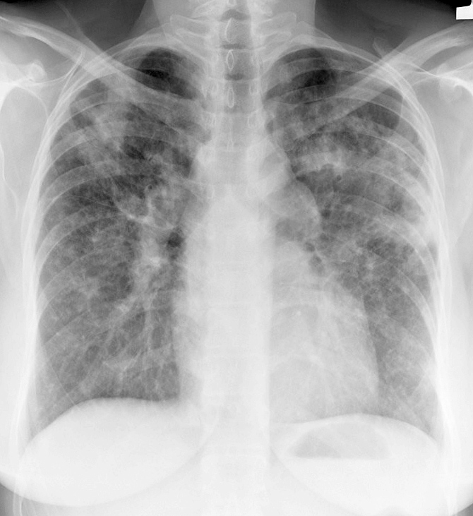
Sarcoid
Case 11 PA(b)

Date: 04/21/2004
Full size: 670x731
nextlast
first previous
Sarcoid
Case 11 PA(b)
nextlast
first previous
Powered by Gallery v2.3