Login Register
Gallery Sarcoid Sarcoid Case 12 PA

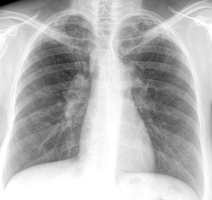
Sarcoid
Case 12 PA

Date: 04/20/2004
Full size: 685x648
nextlast
first previous
Sarcoid
Case 12 PA
nextlast
first previous
Powered by Gallery v2.3