Login Register
Gallery Sarcoid Sarcoid Case 13 PA

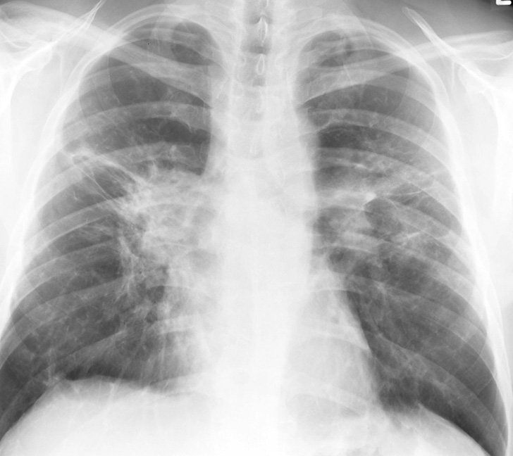
Sarcoid
Case 13 PA

Date: 04/20/2004
Full size: 728x648
nextlast
first previous
Sarcoid
Case 13 PA
nextlast
first previous
Powered by Gallery v2.3