Login Register
Gallery Sarcoid Sarcoid Case 14 PA

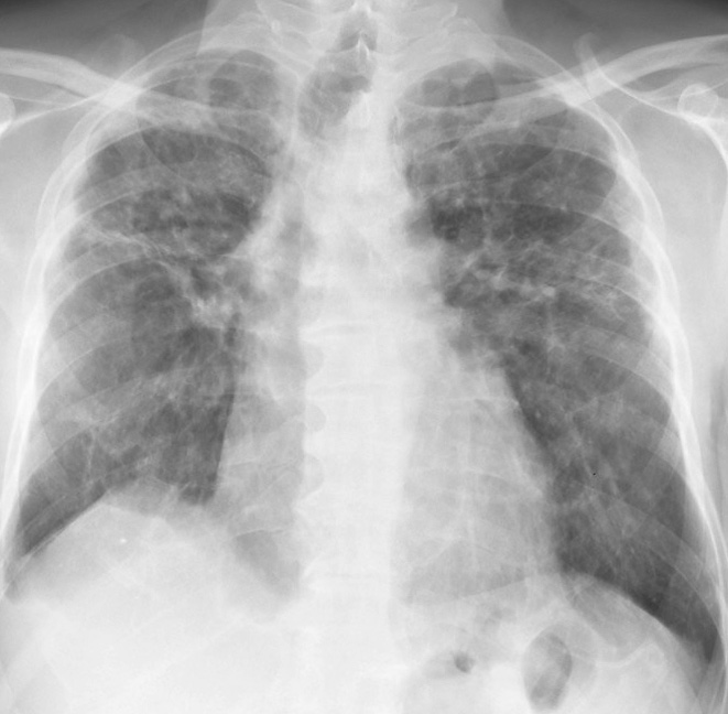
Sarcoid
Case 14 PA

Date: 04/20/2004
Full size: 661x648
nextlast
first previous
Sarcoid
Case 14 PA
nextlast
first previous
Powered by Gallery v2.3