Login Register
Gallery Sarcoid Sarcoid Case 16 CT3

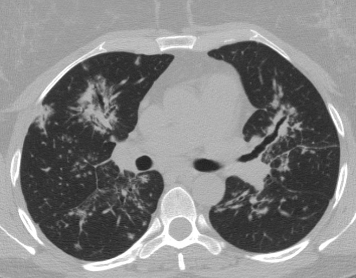
Sarcoid
Case 16 CT3

Date: 04/20/2004
Full size: 720x563
nextlast
first previous
Sarcoid
Case 16 CT3
nextlast
first previous
Powered by Gallery v2.3