Login Register
Gallery Sarcoid Sarcoid Case 16 CT1

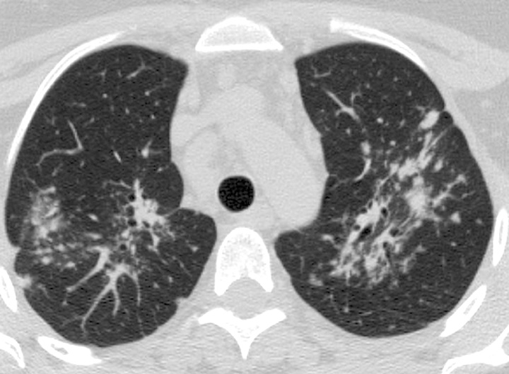
Sarcoid
Case 16 CT1

Date: 04/20/2004
Full size: 720x530
nextlast
first previous
Sarcoid
Case 16 CT1
nextlast
first previous
Powered by Gallery v2.3