Login Register
Gallery Sarcoid Sarcoid Case 18 PA

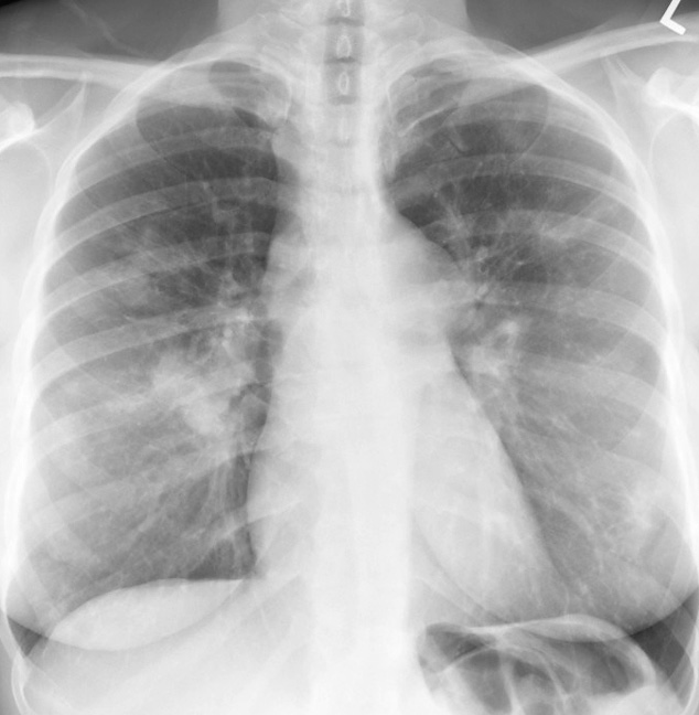
Sarcoid
Case 18 PA

Date: 04/19/2004
Full size: 634x648
nextlast
first previous
Sarcoid
Case 18 PA
nextlast
first previous
Powered by Gallery v2.3