Login
Register
Gallery
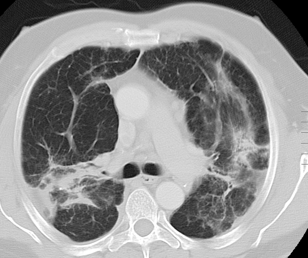
Sarcoid
Sarcoid-late Case 19 CT
Sarcoid-late
Case 19 CT
Date: 01/13/2008
Size:
800x670
984x824
Full size:
984x824
next
last
first
previous
next
last
first
previous