Login
Register
Gallery
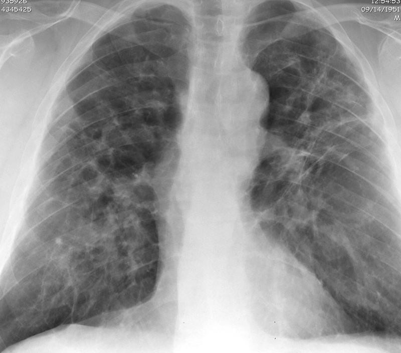
Sarcoid
Sarcoid-late Case 19 PA
Sarcoid-late
Case 19 PA
Date: 01/13/2008
Size:
800x704
1197x1053
Full size:
1197x1053
next
last
first
previous
next
last
first
previous