Login Register
Gallery Sarcoid Sarcoid 21 - with before

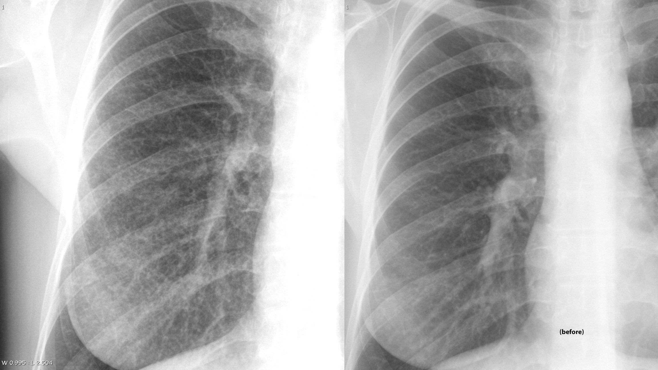
Sarcoid 21 - with before

Date: 01/06/2012
Size:
Full size: 2304x1296
nextlast
first previous
Sarcoid 21 - with before
nextlast
first previous
Powered by Gallery v2.3