Login
Register
Gallery
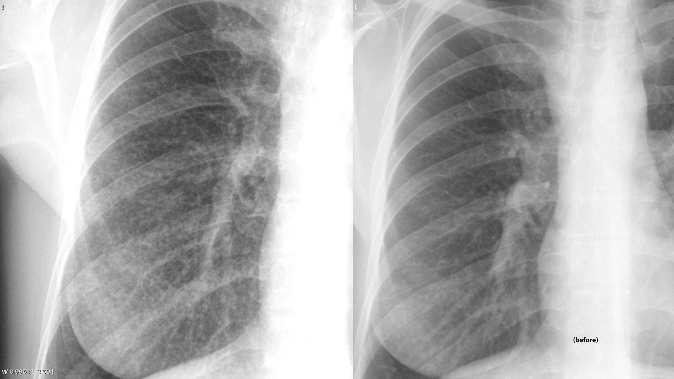
Sarcoid
Sarcoid 21 - with before
Sarcoid 21 - with before
Date: 01/06/2012
Size:
800x450
2304x1296
Full size:
2304x1296
next
last
first
previous
next
last
first
previous