Login Register
Gallery Signs

Signs

Date: 04/28/2014
Size: 29 items
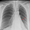
Air bronchogram

Air bronchogram

Date: 04/29/2014
Views: 9942
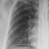
Air crescent sign
invasive aspergillosis

Air crescent sign
invasive aspergillosis

Date: 04/28/2014
Views: 6204
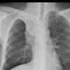
Cervicothoracic sign
(Thyroid mass- see next image)

Cervicothoracic sign
(Thyroid mass- see next image)

Date: 04/28/2014
Views: 6468
Comet tail sign
Rounded atelectasis
(Initially coined for tomography)

Comet tail sign
Rounded atelectasis
(Initially coined for tomography)

Date: 04/28/2014
Views: 6420
Continuoius diaphragm sign
Pneumomediastinum

Continuoius diaphragm sign
Pneumomediastinum

Date: 04/28/2014
Views: 5736
Crazy paving
Alveolar proteinosis - & others

Crazy paving
Alveolar proteinosis - & others

Date: 04/28/2014
Views: 4314
Deep sulcus sign.
Supine pneumothorax

Deep sulcus sign.
Supine pneumothorax

Date: 04/28/2014
Views: 6292
Double density sign
Left atrial enlargement

Double density sign
Left atrial enlargement

Date: 04/28/2014
Views: 6899
Finger in glove sign
RLL bronchiectasis

Finger in glove sign
RLL bronchiectasis

Date: 04/28/2014
Views: 6101
Flat waist sign
LLL collapse

Flat waist sign
LLL collapse

Date: 04/28/2014
Views: 8690
Golden S sign
RUL collapse and central mass

Golden S sign
RUL collapse and central mass

Date: 04/28/2014
Views: 5551
Halo sign

Halo sign

Date: 04/28/2014
Views: 4118
Hilum  overlay sign
Mass in front or behind hilum

Hilum overlay sign
Mass in front or behind hilum

Date: 04/28/2014
Views: 5377
Hilum overlay sign
see next image

Hilum overlay sign
see next image

Date: 04/28/2014
Views: 4038
Hilum overlay sign

Hilum overlay sign

Date: 04/28/2014
Views: 4729
Holly leaf sign
calcified asbestos-related pleural plaque

Holly leaf sign
calcified asbestos-related pleural plaque

Date: 04/28/2014
Views: 5704
Luftsichel sign
LUL collapse; hyperinflated LLL

Luftsichel sign
LUL collapse; hyperinflated LLL

Date: 04/28/2014
Views: 7500
Monad's sign

Aspergilloma

Monad's sign

Aspergilloma

Date: 04/28/2014
Views: 4904
Rigler's sign
to assess LV size

Rigler's sign
to assess LV size

Date: 04/28/2014
Views: 4821
Rugger Jersey sign
2ry hyperparathyroidism in CRF

Rugger Jersey sign
2ry hyperparathyroidism in CRF

Date: 04/28/2014
Views: 4572
Scimitar sign
Anomalous venus return below the diaphragm
(hypoplastic Rt lung/venolobar syndrome)

Scimitar sign
Anomalous venus return below the diaphragm
(hypoplastic Rt lung/venolobar syndrome)

Date: 04/28/2014
Views: 4779
Silhouette sign

RML collapse

Silhouette sign

RML collapse

Date: 04/29/2014
Views: 4918
RML collapse 
(see previous image)

RML collapse
(see previous image)

Date: 04/28/2014
Views: 3413
Split pleura sign
Empyema

Split pleura sign
Empyema

Date: 04/28/2014
Views: 8667
Tapered margins sign
Pleural or extrapleural origin

Tapered margins sign
Pleural or extrapleural origin

Date: 04/28/2014
Views: 5404
Tapererd margins sign
Pleural lipoma

Tapererd margins sign
Pleural lipoma

Date: 04/28/2014
Views: 4604
Tree-in-bud sign
Plugged small airways

Tree-in-bud sign
Plugged small airways

Date: 04/28/2014
Views: 5804
free air

free air

Date: 01/12/2015
Views: 4233
Benny  PWD

Benny PWD

Date: 04/28/2014
Views: 4951
     
Page: 1
Powered by Gallery v2.3