Login Register
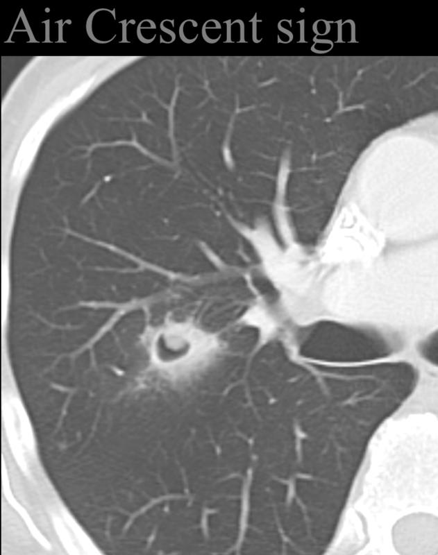
Gallery Signs Air crescent sign invasive aspergillosis

Air crescent sign
invasive aspergillosis

Date: 04/28/2014
Size:
Full size: 734x931
nextlast
first previous
Air crescent sign
invasive aspergillosis
nextlast
first previous
Powered by Gallery v2.3