Login Register
Gallery Signs Flat waist sign LLL collapse

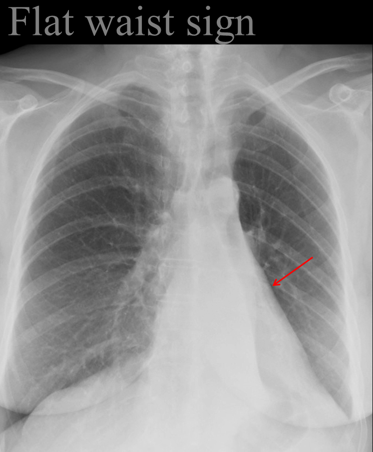
Flat waist sign
LLL collapse

Date: 04/28/2014
Size:
Full size: 747x906
nextlast
first previous
Flat waist sign
LLL collapse
nextlast
first previous
Powered by Gallery v2.3